El enemigo silencioso del cerebro
En el complejo universo de las enfermedades neurodegenerativas, existe un grupo particularmente devastador que desafía los paradigmas tradicionales de la medicina: las enfermedades priónicas. Estas patologías, causadas por proteínas aberrantes conocidas como priones, representan una de las formas más agresivas de deterioro neurológico conocidas por la ciencia médica. A diferencia de otros trastornos cerebrales que pueden desarrollarse durante años o décadas, las enfermedades priónicas se caracterizan por una progresión vertiginosa que puede llevar a la muerte en cuestión de meses.
La mecánica destructiva de los priones
Los priones constituyen un tipo único de agente infeccioso compuesto exclusivamente por proteínas mal plegadas, sin material genético alguno. Su capacidad destructiva radica en su habilidad para inducir el mal plegamiento de proteínas normales del cerebro, creando una reacción en cadena que se extiende progresivamente por el tejido nervioso. Este proceso genera la acumulación de placas proteicas tóxicas que literalmente perforan el cerebro, creando vacuolas que otorgan al tejido cerebral esa característica apariencia esponjosa que define a estas enfermedades.
El resultado es una neurodegeneración masiva que afecta múltiples funciones cerebrales simultáneamente. Las neuronas mueren de forma acelerada, las conexiones sinápticas se destruyen y las capacidades cognitivas, motoras y sensoriales se deterioran de manera irreversible. Esta cascada destructiva explica por qué los pacientes experimentan un declive tan dramático en períodos de tiempo extraordinariamente cortos.
Manifestaciones clínicas devastadoras
Las enfermedades priónicas presentan un espectro clínico amplio pero uniformemente grave. La enfermedad de Creutzfeldt-Jakob, la forma más frecuente, se manifiesta inicialmente con síntomas aparentemente benignos como olvidos, cambios de personalidad o alteraciones del sueño. Sin embargo, esta fase temprana rápidamente evoluciona hacia un cuadro neurológico complejo que incluye demencia severa, movimientos involuntarios, alteraciones visuales y deterioro motor progresivo.
Por su parte, el insomnio familiar fatal presenta características particulares que lo distinguen claramente. Los pacientes desarrollan una incapacidad total para conciliar el sueño, acompañada de disfunción autonómica, alteraciones endocrinas y deterioro cognitivo. La muerte sobreviene como consecuencia del agotamiento extremo del sistema nervioso, incapaz de sostener las funciones vitales básicas tras meses de privación absoluta del sueño reparador.
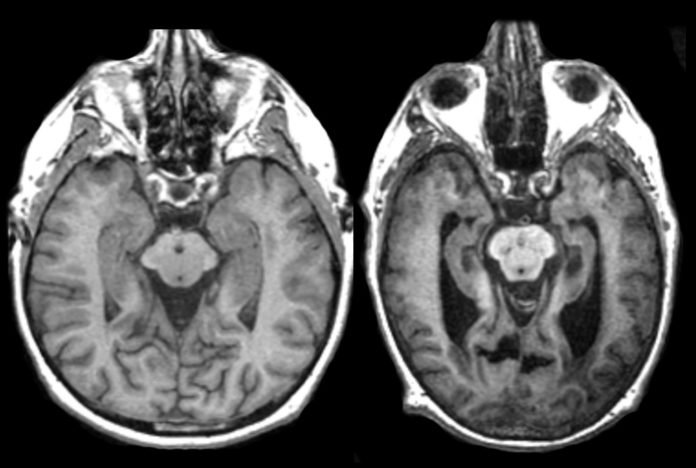
Desafíos diagnósticos y terapéuticos
El diagnóstico de las enfermedades priónicas representa uno de los mayores retos de la neurología contemporánea. La ausencia de biomarcadores específicos y la necesidad de técnicas diagnósticas altamente especializadas complican la identificación temprana de estos trastornos. Las pruebas de neuroimagen pueden mostrar patrones característicos, pero la confirmación definitiva frecuentemente requiere análisis del líquido cefalorraquídeo o incluso biopsias cerebrales en casos seleccionados.
Desde el punto de vista terapéutico, las opciones actuales son extremadamente limitadas. No existe tratamiento curativo ni terapias que puedan detener o revertir significativamente la progresión de estas enfermedades. Los esfuerzos médicos se centran en el cuidado paliativo, el control sintomático y el apoyo integral al paciente y su familia durante el proceso de deterioro. Esta realidad convierte a las enfermedades priónicas en una de las áreas de mayor urgencia para la investigación neurológica actual.
Perspectivas futuras en investigación
La investigación científica actual se enfoca en múltiples frentes prometedores. Los estudios sobre inhibidores del mal plegamiento proteico, terapias génicas dirigidas y compuestos neuroprotectores ofrecen esperanzas para el desarrollo de tratamientos efectivos. Adicionalmente, los avances en técnicas de diagnóstico precoz podrían permitir intervenciones más tempranas, potencialmente mejorando el pronóstico de estos pacientes. Aunque el camino es largo y complejo, el progreso científico continúa abriendo nuevas posibilidades en la lucha contra estas devastadoras enfermedades cerebrales.






