Benidorm acoge la sexta jornada de los Juegos Deportivos Adaptados en las comarcas de...
Un total de 9 centros educativos han participado en las actividades de deporte adaptado en el Palau d'Esports l'Illa de Benidorm La localidad de...
Resident Evil 8 no tiene previsto llegar en el 2021
EMERGENCY, EMERGENCY...AUTODESTRUCTION SYSTEM HAS BEEN ACTIVATED!!! La sirena de la advertencia de rumores sobre Resident Evil no hace más que sonar, pero esta vez...
El Real Madrid pasa a octavos de Copa del Rey a costa de un...
Real Madrid no se dejó sorprender en su estreno en la Copa del Rey y se clasificó para los octavos de final tras...
Ximo Puig crea un chiringuito para luchar, entre otros objetivos, con la feminización de...
Lo pagaremos entre todos. Es un nuevo chiringuito generado para tener contentos a sus parroquias, dar sueldos por doquier, hacer creer que hacen algo...
Fani, tras ser infiel a su novio en ‘La isla de las tentaciones’: «Me...
La isla de las tentaciones sigue sumando capítulos, capítulos cuyo protagonismo continúan acaparando por un lado las citas entre Fani y Rubén y por otro Christofer, el...
Casado advierte de que su formación rechazará en el Parlamento el «indulto encubierto»a Junqueras...
El presidente del Partido Popular, Pablo Casado, ha advertido este miércoles que su formación rechazará en el Parlamento el "indulto encubierto" que el presidente del Gobierno,...
El salario de los cuatro vicepresidentes se eleva hasta los 79.746 euros anuales frente...
De los 85.000€ de Sánchez a los 80.000€ de Iglesias: estos son los sueldos del Gobierno. La presidenta del Consejo de Estado cobrará 84.436...
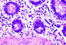
Descubren una célula inmune que abre la puerta a la «cura universal» para el...
El estudio revela que una célula T y su receptor pueden matar una amplia gama de tumores como el de próstata, mama, pulmón y...
La Reina Letizia e Isabel Díaz Ayuso se encuentran en la jornada inaugural de...
La presidenta de la Comunidad de Madrid, Isabel Díaz Ayuso, ha acompañado hoy a Su Majestad la Reina de España, Doña Letizia, en la...
Agencia 6, único medio de España que entrevistó a Juan Cano (Crimen del alcalde...
Las defensas ponen el acento en un hombre desvinculado del crimen y los agentes señalan a Cano. Los abogados vuelven a escavar en la...









